神様に祈り求めることで、できなかったことができるようになった話
突然ですが、新しく「画像診断ノート」のブログを立ち上げました。
以前、noteに画像診断の記事を書くことにしたとお伝えし、実際にいくつか記事を書いたのですが、イマイチ気分が乗らず、いいアイデアが浮かばず、前に進みませんでした。
「症状がないなら病人ではない」という、忘れ去られた真実 ―― 診断が奪う心の平和について
ちなみに画像診断とは、CTやMRIなどの画像を見て、正常か異常か、異常であればそれが何なのかを診断する仕事です。
それで、web開発を進めながら、記事を書くことができるようにと祈っていました。
普段、仕事で見る画像の所有権は病院や検査を受けた人にあり、自由に使うことができないので、教育に使えそうなものがあっても使うことができず、悶々としていました。
ところが、どのような経緯で見つけたのか忘れましたが、Radiopaediaというフリーで画像を使えるサイトが見つかり、一歩前進しました。
症例が沢山あるので何かに使えないだろうかと、これまた考えて、お祈りしていました。
で、4月1日に記事を書いた翌日(あるいは翌々日だったかも)の明け方もいつも通りお祈りしていたのですが、サタンの攻撃か誰かからの「呪い」かはわかりませんが、胸をえぐられるような胸痛に襲われました。
何故か久しぶりに強烈なのが来て、一瞬救急車を呼ぶべきかとも考えたのですが、どう考えてもそれは霊的なものだったので、病院に行っても無駄だと思い、ひたすら神様にすがり、それこそ命がけでサタンの滅びと悪人の滅びを祈りました。
明け方の4時半を過ぎた頃から少しずつ弱まり、仮眠をとって起きた時には、完全に治まっていました。
その時は、生きていることに感謝しました。
こういう経験を通して、霊界が存在しており、サタンも神様も存在しており、神様が守ってくださっているということも確信できるので、より一層信仰が深くなるわけですね。
で、必死にサタンと悪人の滅びを祈りましたし、私を呪う者にその呪いが「億の億倍、兆の兆倍」になって跳ね返るようにお祈りしていますから、せいぜい墓穴を掘って自滅してください。
そしてその翌日だったか翌々日だったか忘れましたが、いいアイデアを思いつき、ブログ上で画像をマウススクロールできるようになり、これでどのような記事を書いたらいいのか、筋道が見えました。強力にお祈りしたご褒美でしょうか😊
以下のようなものですが、思いがけず今このブログでもできてしまったことに驚いています。
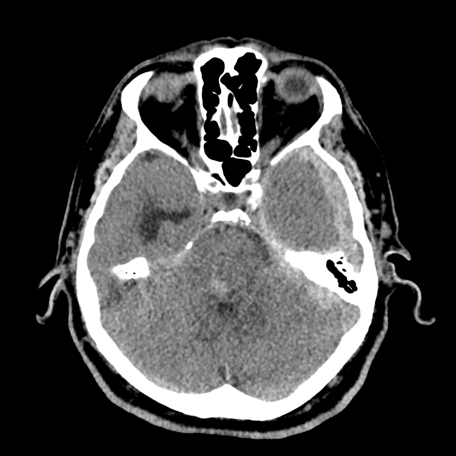
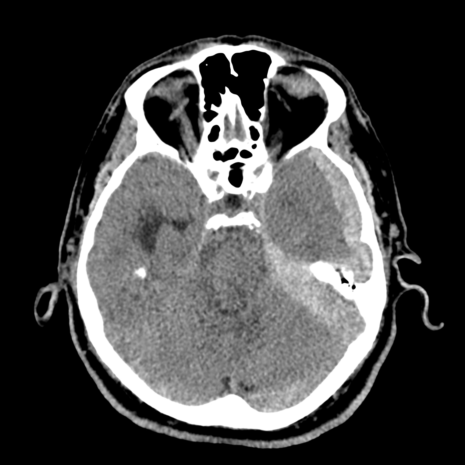
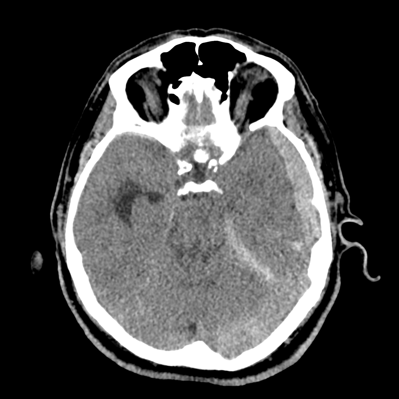
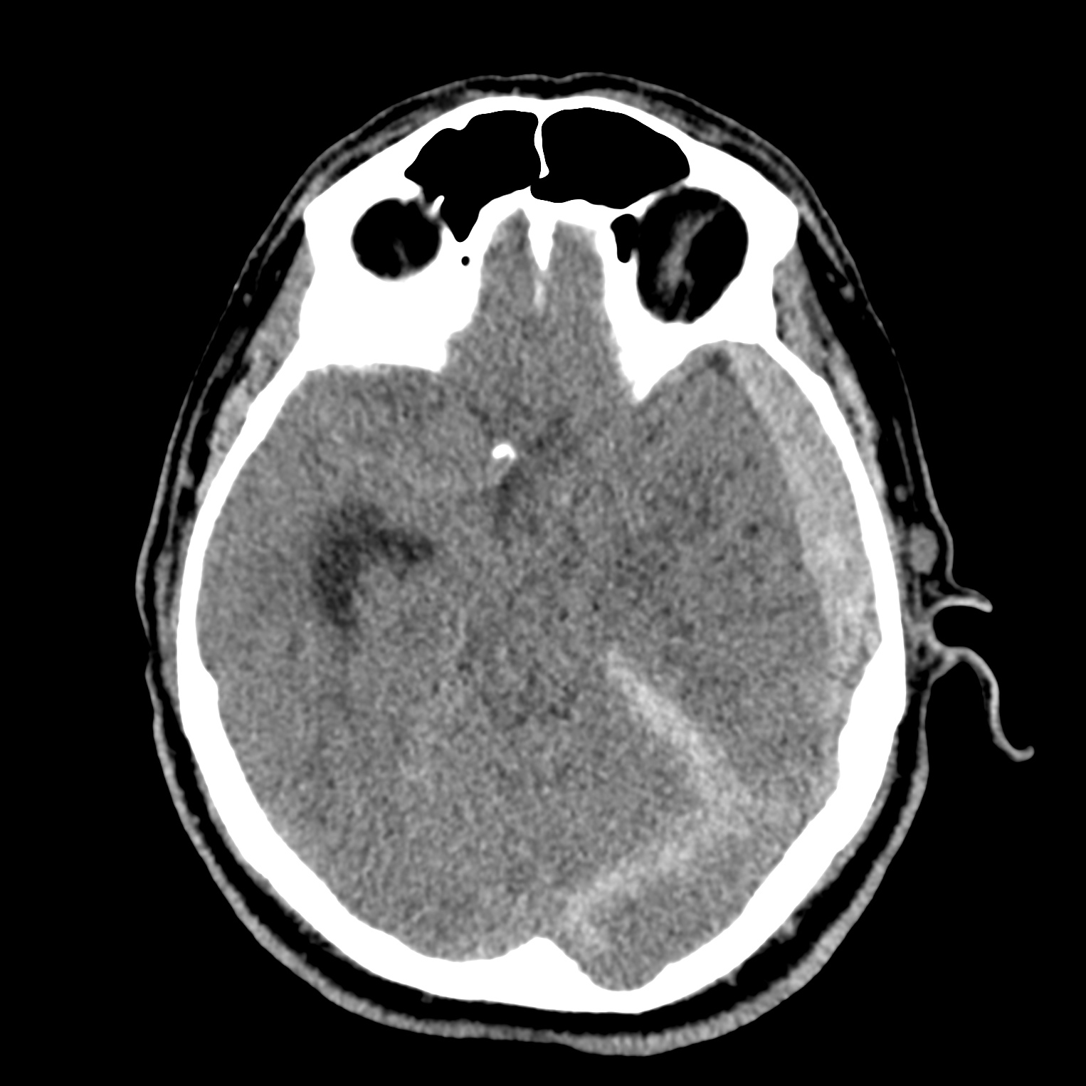
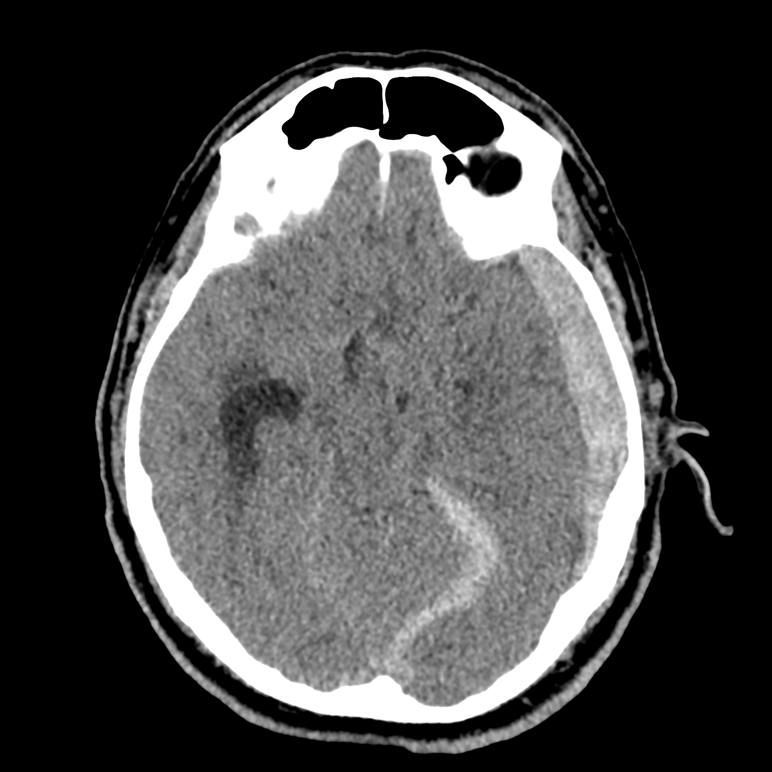
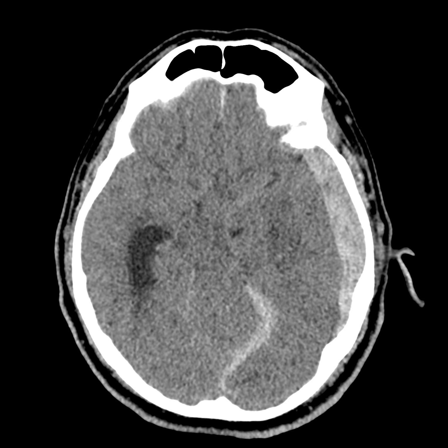
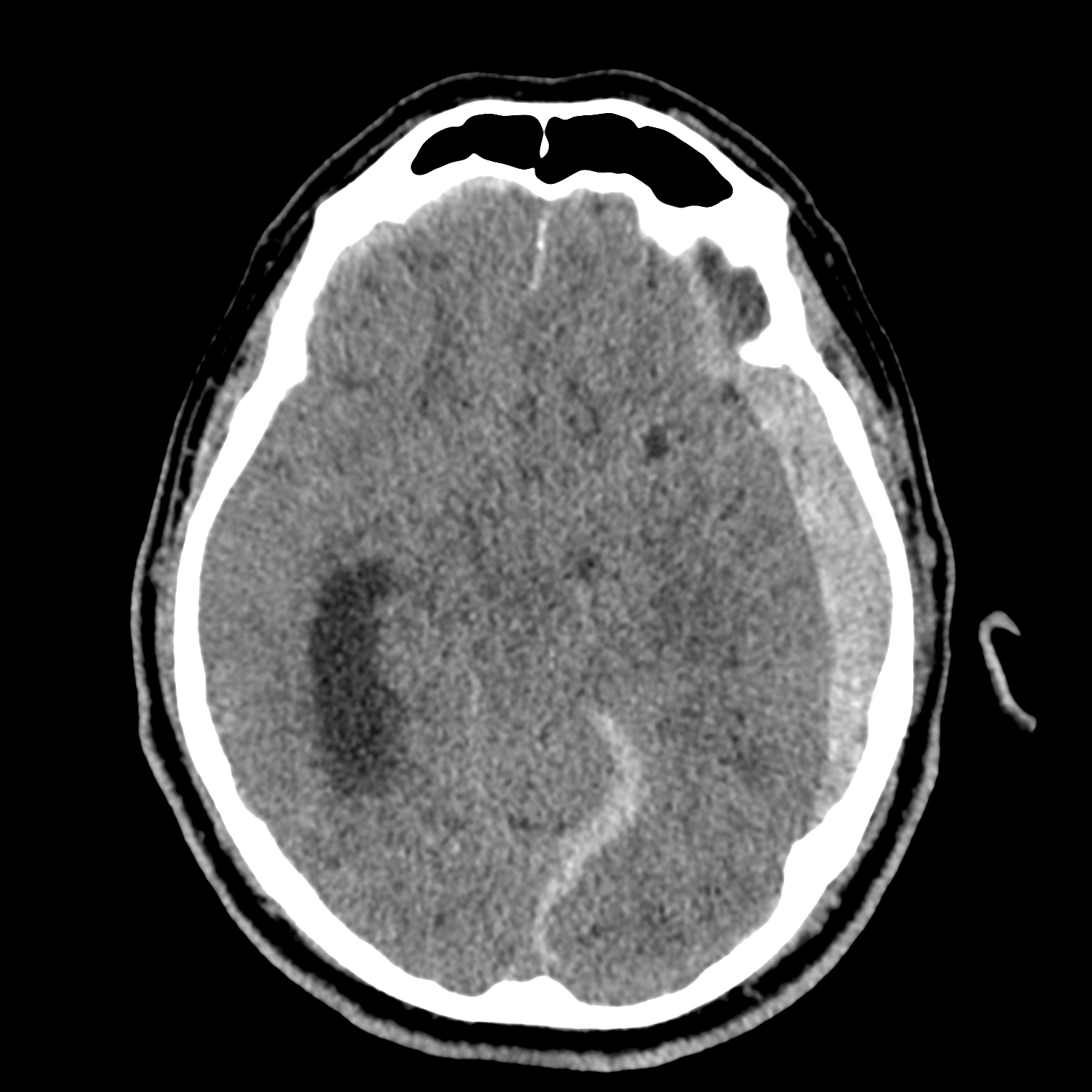
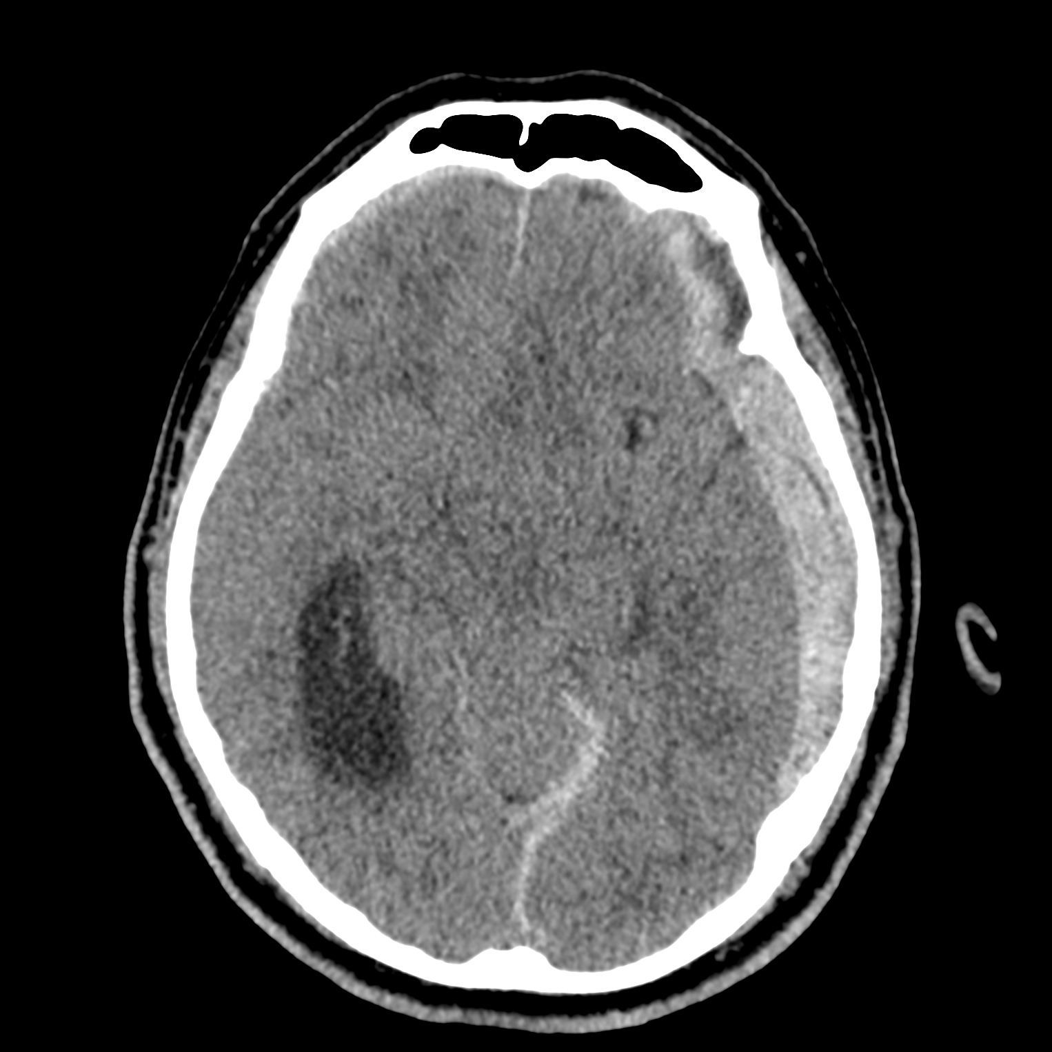
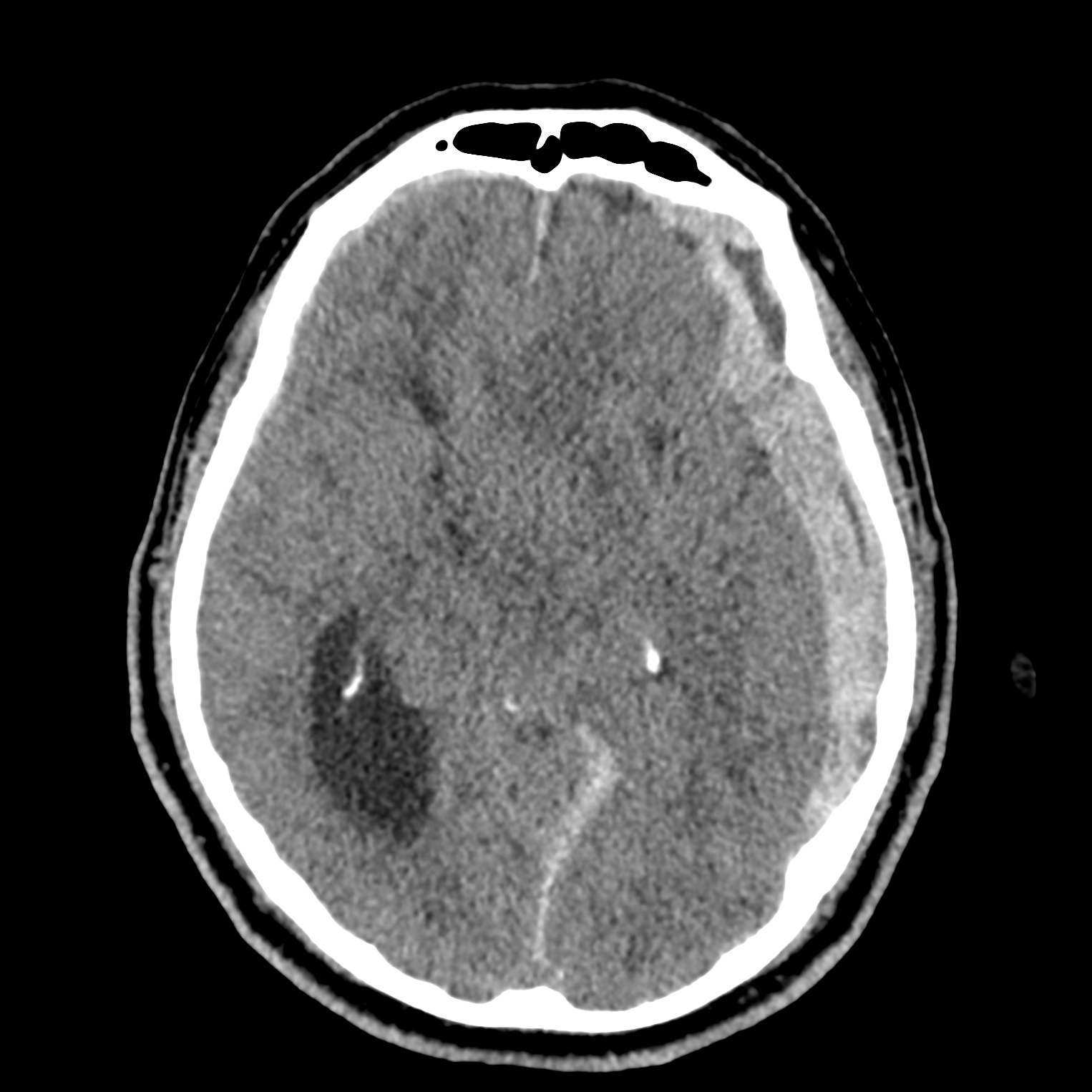
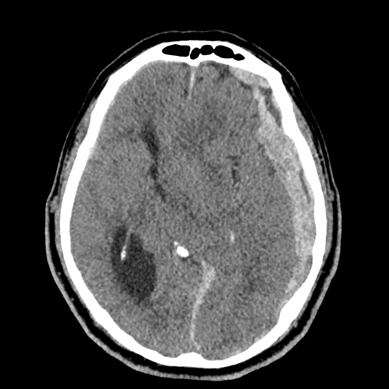
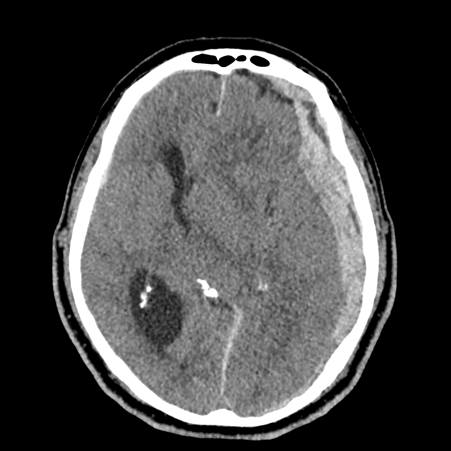
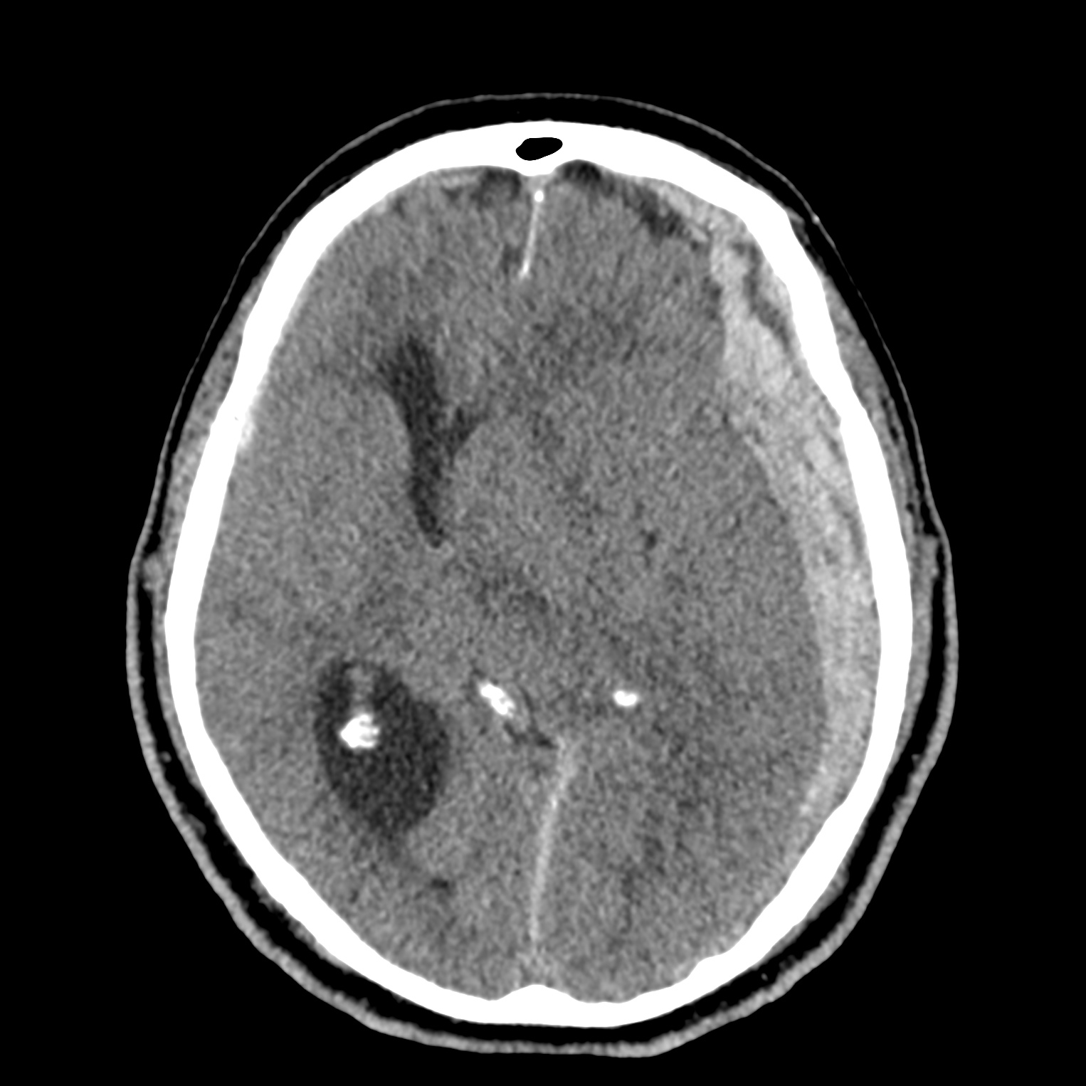
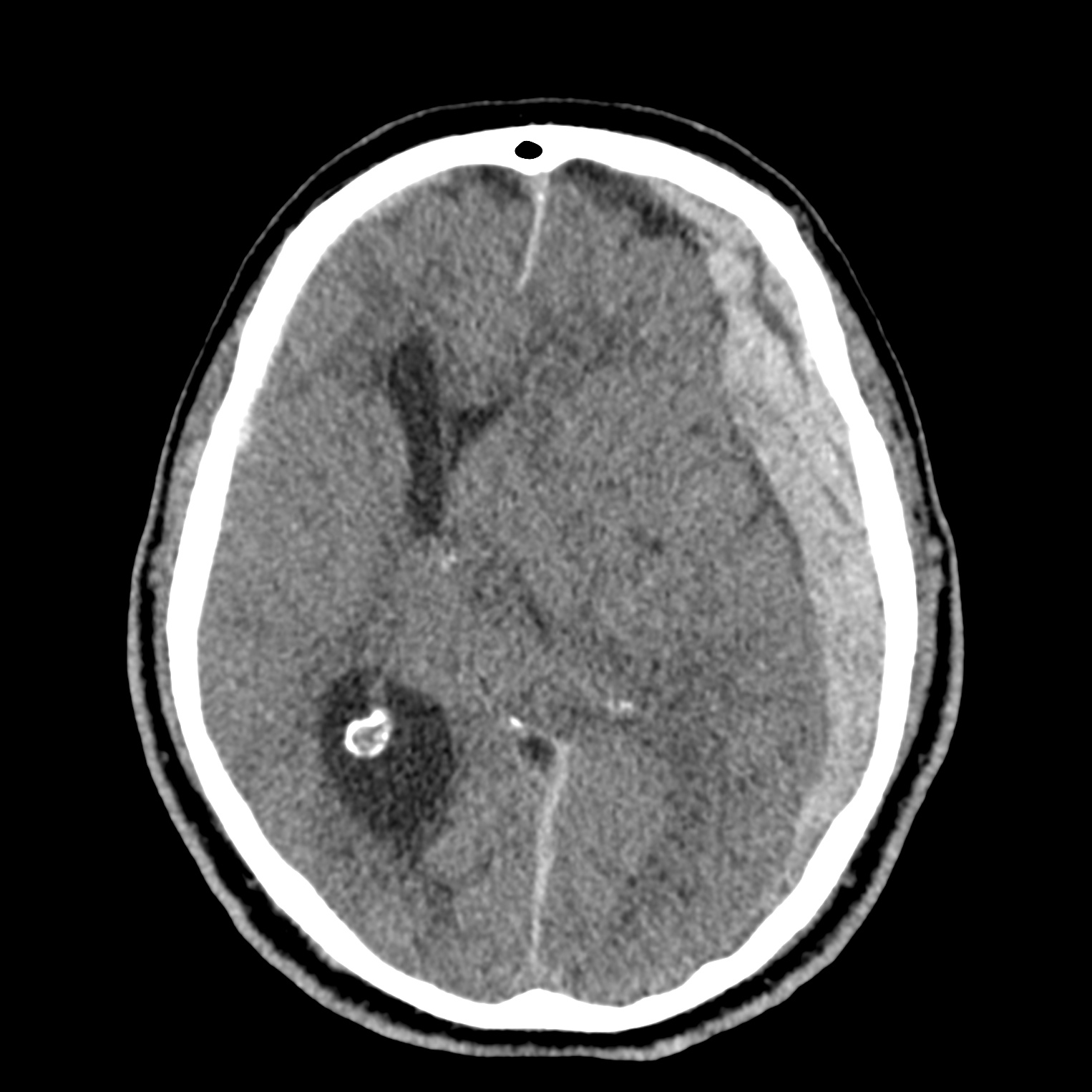
Case courtesy of Andrew Dixon, Radiopaedia.org. From the case rID: 32383
医療従事者でなければ何のメリットも無いかもしれないのですが、実際の画像を自分でスクロールしながら学ぶことができるというのは、ものすごく大きなことだと思います。
さらに症例の解説を付け加えたら、読影能力アップのための強力なツールになるのではないかと期待しています。
何百、何千というネタがあり、「何年かかるの?」という感じですが、これは間違いなく神様が与えてくださったものだと思うので、本当に感謝が溢れます。
しかも、実はこれは、私が信仰を持つ前にやりたいと思っていたことなのです。
当時は、できたらいいなと思いつつも、実力がなくてできませんでした。
ブログを書く実力もなかったですから、ましてこんなことができるなんて、思いもよらなかったです。
それが今はこうして記事を書き、さらにAIの助けを借りてビューワーまで作ることができました。
このように、RAPT氏の仰るとおりに神様に従い、お祈りしながら努力を続けていれば、いつの間にか実力がつき、できないことができるようになります。
これから作るブログが神様にとってどのようなプラスになるのかわかりませんが、本当に優れた情報を発信していこうと思います。
これからさらに多くの方が、神様に出会って祝福を受けられますように、心からお祈りいたします。
RAPT有料記事238(2018年1月1日)あなたがたの天の父が完全であられるように、あなたがたも完全な者となりなさい。
RAPT有料記事243(2018年1月20日)霊的な考えで頭を満たすことで、この世のありとあらゆる分野を治めていきなさい。
RAPT有料記事409(2019年9月30日)あなたの専門分野を究めてこの世のトップに立ち、全知全能の神が存在していることを人々の前で証明しなさい。
RAPT有料記事426(2019年12月7日)真に人生を成功させたいと願うなら、常に主とつながって、沢山の閃きを得られるように努力しなさい。












